Kahramanmaraş'ta hastaneye götürülen bir yaşındaki bebeğin belinden akciğer zarına doğru ilerleyen 2 santimetrelik zımba teli çıktı. Aile, bebeğin doğduğundan beri zımba teli yüzünden rahatsızlık çektiğini belirterek sorumluların ceza almasını istedi.
Dulkadiroğlu ilçesi Sümer Mahallesi'nde ikamet eden Orhan ve Hatice Nur Poyraz çifti, 18 Ocak 2025 tarihinde Kahramanmaraş Kadın Doğum ve Çocuk Hastanesi'nde çocuklarını kucaklarına aldı. Doğum sonrası sarılık nedeniyle bebek bir süre kuvöze alındı. Yaklaşık bir hafta kuvözde kalan bebek taburcu edildi. Baba Orhan Poyraz, 1 yaşına kadar Ömer Asaf bebeğin gece gündüz durmadan ağlaması üzerine hastaneye gitti. Ancak sırt üstü yatmak istemeyen bebeğin ağlaması durmadı.
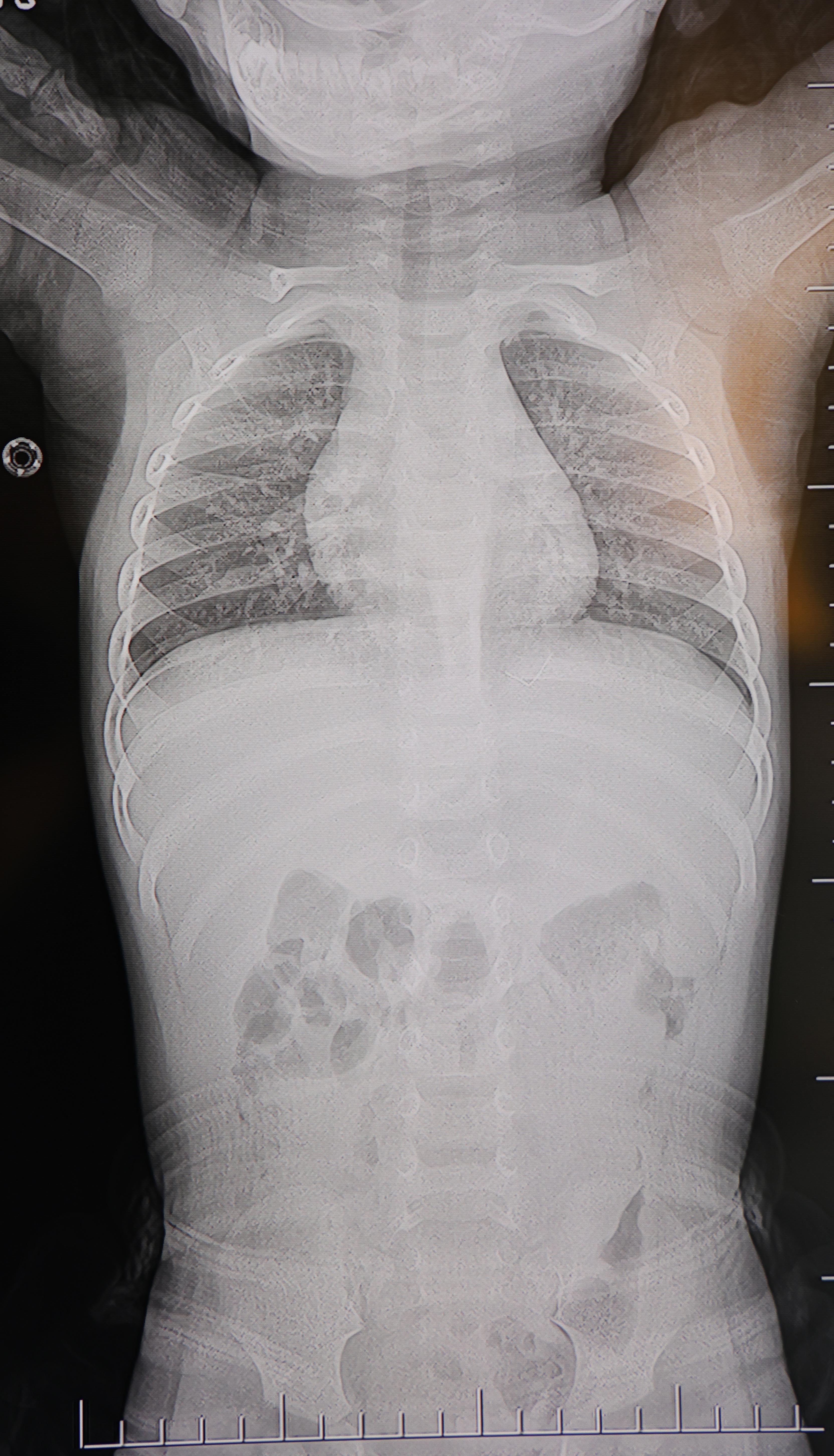
Baba Poyraz, bir gün acil serviste yapılan kontrollerde bebeğin belinde yabancı cisim olduğunu, çekilen filmlerde ise "L" şeklinde zımba teli tespit edildiğini söyledi. Çeşitli hastanelere yönlendirildiklerini anlatan baba, uzun süre müdahale edilmediğini, daha sonra özel bir hastanede yapılan operasyonla zımba telinin çıkarıldığını kaydetti.
"Filmlere baktılar 'L şeklinde zımba teli var, alınması lazım' dediler"
Poyraz, bebeğin doğduktan sonra sarılık diyerek kuvöze alındığını belirterek, "Bir hafta orada yattı. Sonra çıkardılar, eve getirdik. Eve geldikten sonra gece gündüz ağlaması hiç durmadı. Tekrar hastaneye götürdüm. Kaşınıyordu, bir hafta banyo yaptıramadık. Sonra duş aldırdım, bağırması daha da arttı. Belini açtık, sırtına baktık, bir şey var mı diye kontrol ettik, görünürde yoktu. Hastaneye götürdük, şurup verdiler. Aylar geçti. Daha sonra acilde bir doktor çocuğumun belinde yabancı cisim olduğunu söyledi. 184'ü aradım, şikayette bulundum. Başhekim yardımcısının yönlendirmesiyle tomografi çekildi. O zaman belinde zımba teli olduğu netleşti. Başka bir hastaneye götürdük, 'riskli, 8 yaşına kadar alınamaz' dediler, geri gönderdiler. Eve geldikten üç gün sonra oğlum bayıldı. Kardeşimle özel hastaneye götürdük. Orada filmlere baktılar, 'akciğere doğru gidiyor, L şeklinde zımba teli var, alınması lazım' dediler" dedi.
"Bu olay araştırılsın"
Özel hastanede zımba telinin ameliyatla çıkarıldığını ifade eden Poyraz, olayın araştırılmasını isteyerek, "Bu süreçte prematüre olan kızım da hastanedeydi. Bu olayı duyunca kızımı da çocuk hastanesinden erken taburcu ettiler. 1 kilo 900 gramdı. Şimdi iki bebeğim de evde. Ben bir yıldır işe gidemiyorum. İnşaat işçisiyim, asgari ücretle çalışıyordum. Zımba teli çıkarılmadan önce çocuğum felç gibi yatıyordu. Şimdi biraz daha iyi ama hala çok ağlıyor. Bir yıldır bu şekildeyiz. Allah korusun bir enfeksiyon olsa, başına bir şey gelse bunun hesabını kim verecek" diye konuştu.
Baba Poyraz, sorumluların bulunması için suç duyurusunda bulunduğunu ve süreci takip ettiğini kaydetti.









